Plaque and calculus, also known as tartar, are two of the most common dental problems that affect both children and adults alike. If not removed, plaque and calculus can lead to tooth decay, gum disease, and other oral health issues. To keep your mouth healthy, it is important to understand the basics of plaque and calculus, the benefits of removing them, the tools and steps to do so, and the best strategies to prevent them from forming in the first place.
What Is Plaque & Calculus?
Plaque is a sticky film of bacteria, food particles, and saliva that builds up on teeth and gums and can cause tooth decay and gum disease if not removed. Calculus is a hard, calcified form of plaque that has built up over time and can be difficult to remove.
Benefits of Removing Plaque & Calculus
Maintaining good oral hygiene is essential for achieving healthy teeth and gums, and removing stains, plaque, and calculus can offer a number of important benefits. Here are some of the key benefits of removing these types of dental buildup:
- Preventing Tooth Decay: Plaque is a sticky film of bacteria that forms on the surface of teeth. If not removed, plaque can produce acid that slowly erodes tooth enamel, leading to cavities. By removing plaque regularly through brushing and flossing, you can prevent tooth decay and the need for fillings, root canals, or even tooth extractions.
- Reducing Gum Disease: Plaque buildup can also cause inflammation of the gums, a condition known as gingivitis. Gingivitis can cause redness, swelling, and bleeding of the gums, and can progress to a more serious form of gum disease called periodontitis. By removing plaque and calculus through regular dental cleanings, you can reduce your risk of developing gum disease and maintain healthy gums.
- Improving Breath: Bacteria in the mouth can produce unpleasant odors that contribute to bad breath. Removing plaque and calculus can help reduce the number of bacteria in the mouth, resulting in fresher breath and improving overall oral hygiene.
- Enhancing Appearance: Stains on the teeth can be caused by various factors such as smoking, coffee, tea, or red wine, and can make teeth appear yellow or discolored. Removing these stains through professional teeth cleaning can improve the appearance of teeth, resulting in a brighter and more confident smile.
Causes of Calculus and Stains
Stains, plaque, and calculus can be caused by a variety of factors, including:
- Poor Oral Hygiene: The most common cause of stains, plaque, and calculus is poor oral hygiene. If you don’t brush and floss your teeth regularly, food particles and bacteria can build up in your mouth and form a sticky film called plaque. Over time, this plaque can harden and turn into calculus (also known as tartar), which can only be removed by a dental professional.
- Diet: Certain foods and beverages can cause staining on teeth. Coffee, tea, red wine, and tobacco products are some of the most common culprits. Eating sugary or acidic foods and drinks can also contribute to plaque buildup, as these substances can erode tooth enamel and make it easier for bacteria to adhere to the teeth.
- Age: As we age, the outer layer of tooth enamel becomes thinner, making teeth more susceptible to staining. Additionally, the natural yellowing of teeth over time can make stains more noticeable.
- Medications: Some medications, such as certain antibiotics and antihistamines, can cause staining on teeth.
- Genetics: Some people may be more prone to developing stains, plaque, and calculus due to genetic factors.
How to Remove Plaque
The best way to remove plaque is to brush your teeth twice a day with a soft-bristled toothbrush. Flossing and using an antibacterial mouthwash can also help remove plaque and prevent it from forming. Regular visits to the dentist are also important to help remove plaque and keep your teeth and gums healthy.
Effectiveness of Plaque Removal
Plaque removal is an effective way to prevent cavities and gum disease. Regular brushing and flossing can help remove plaque and keep your teeth and gums healthy. Visiting the dentist for regular cleanings can also help remove any hardened plaque that has formed.
Steps to Remove Calculus and Stains
Removing calculus and stains requires a more intensive cleaning than just brushing and flossing. Professional cleaning from a dentist is usually necessary to remove these deposits. The dentist may use special tools to scrape away the calculus and stains and may also use a polishing paste to help remove any surface stains.
Prevention of Plaque, Calculus, and Stains
Preventing plaque, calculus, and stains is the best way to keep your teeth and gums healthy. Brushing your teeth twice a day with a soft-bristled toothbrush, flossing daily, and using an antibacterial mouthwash can help prevent plaque formation. Avoiding sugary and acidic foods, drinks, and smoking can also help prevent stains. Regular visits to the dentist are also important to help prevent and remove plaque, calculus, and stains.
Plaque, calculus, and stains can affect the appearance and health of your teeth. Removing these can help improve the look and feel of your smile and can help prevent further issues. Brushing and flossing daily, using an antibacterial mouthwash, avoiding sugary and acidic foods, and visiting the dentist regularly can help prevent and remove plaque, calculus, and stains.
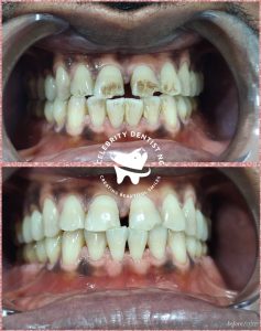
The picture below shows some of the Scaling and Polishing (with Laser teeth whitening for some) we have carried out at Celebrity Dentist NG
- Celebrity Dentist NG – Deep Cleaning & Advanced Laser Teeth Whitening
- Celebrity Dentist NG – Scaling & Polishing with Laser Teeth Whitening
Steps to Remove Plaque & Calculus
1. Brush your teeth with a soft-bristled toothbrush and fluoride toothpaste.
2. Use dental floss to remove plaque and food particles from between your teeth.
3. Use a dental scaler to gently remove plaque and calculus from your teeth.
4. Use a dental pick or interdental brush to remove any remaining plaque and calculus.
Post-Removal Tips
1. Brush your teeth twice a day with a soft-bristled toothbrush and fluoride toothpaste.
2. Floss your teeth once a day to remove plaque and food particles from between your teeth.
Prevention Strategies
1. Brush your teeth twice a day with a soft-bristled toothbrush and fluoride toothpaste.
2. Floss your teeth once a day to remove plaque and food particles from between your teeth.
3. Avoid sugary and starchy foods and drinks, as these can promote plaque and calculus formation.
4. Visit your dentist regularly for professional cleaning and checkups.
Plaque and calculus are common dental issues that can lead to tooth decay, gum disease, and other oral health problems. To keep your mouth healthy, it is important to understand the benefits of removing plaque and calculus, the tools and steps to do so, and the best strategies to prevent them from forming in the first place. With proper care and regular checkups, you can maintain a healthy and beautiful smile.











0 Comments